WELCOME TO

Derm Pathology

ISSN: (Pending)

  

Editors:

Francisco G. La Rosa, MD*

Associate Professor

 &

Josh Wissell, MD*

Associate Professor
  

*University of Colorado, Anschutz Medical Campus

Department of Pathology

Mail Stop 8104; P.O. Box 6511

12800 East 19th Avenue

Aurora, CO 80045-0508

   Phone: 303-724-3782

 

Acknowledgement: Histology Lab UC Denver

 

Disclaimer:

The University of Colorado is not responsible for the content of this Web site

 



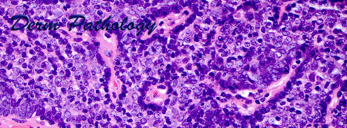
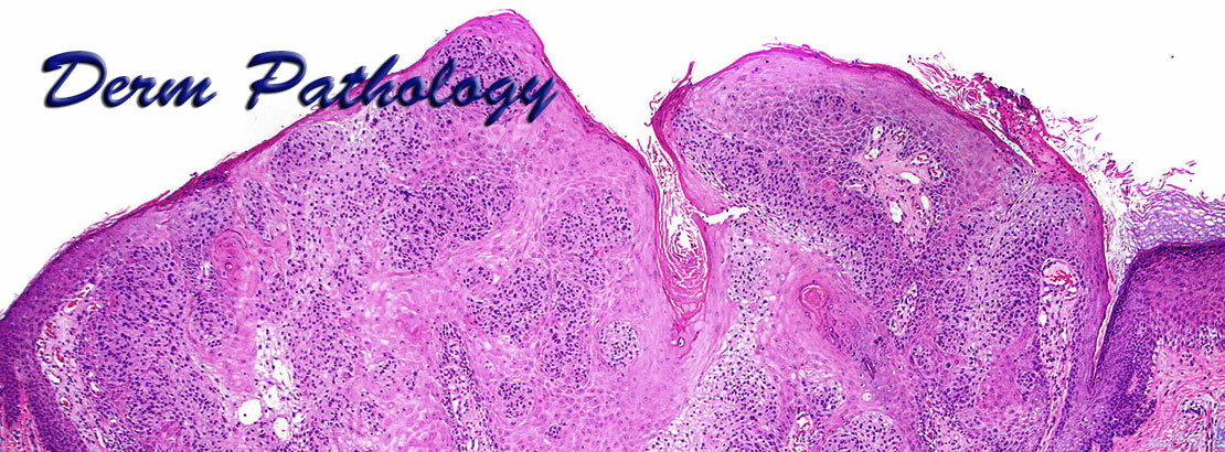
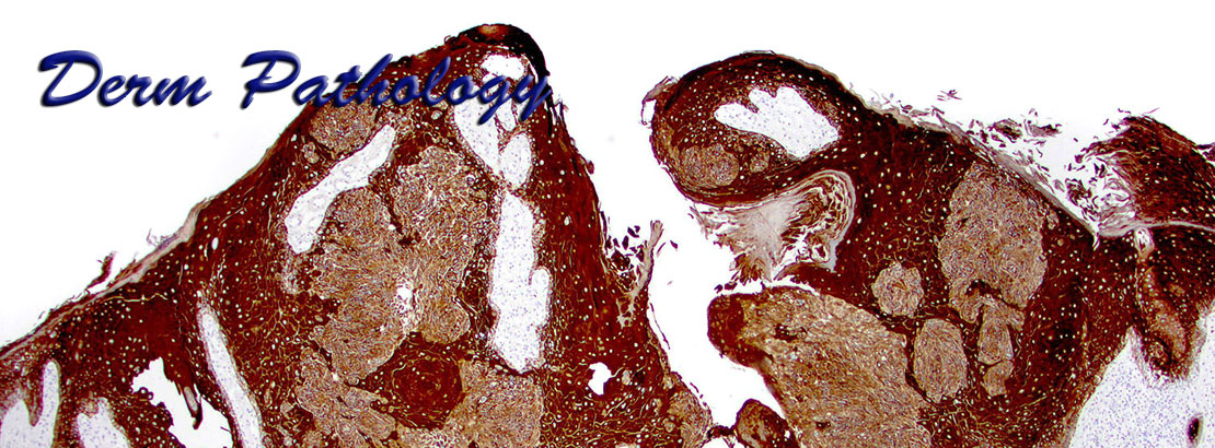
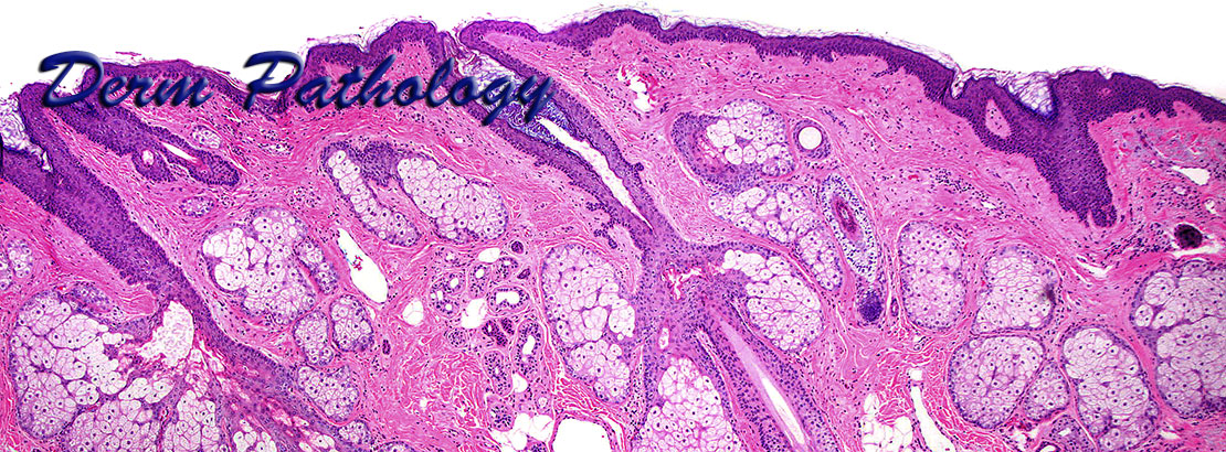
Dermatopathology is an important subspecialty of pathology in the diagnosis of lesions of the skin. Basic knowledge of dermatopathology is highly valuable for physicians specialized in dermatology, as it allows for proper correlation of histological findings with the clinical findings and specific therapy.

Our goal is to provide students, clinicians and pathologists with a wide range of images that can be used as an aid to learn more about these conditions and as a quick reference during daily practice. These images have been divided into normal, inflammatory and neoplastic lesions with illustration of most typical cases.

Our web site uses high definition images obtained from histological preparations and gross pathology specimens, most of them at a high resolution of 1800 x 1350 pixels, and at different optical magnifications, including conventional hematoxylin-eosin (H&E), PAS, and trichrome stains, as well as immunohistochemical stains.

Although aimed in particular at pathologists, our web site may serve also as a main reference guide to medical students, pathology residents & fellows, as well as to dermatologists and general practitioners.

Click here to send us your images and become a collaborator.


(Last Edition: July 10, 2023 )